
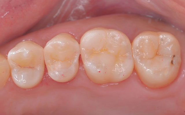
治療前

治療後
主訴
虫歯があれば治療してほしい。(30代 女性)
治療内容
ダイレクトボンディング 1本、セラミックインレー 1本、セラミックアンレー 1本
治療期間
約2週間(治療回数:2回)
治療費用
242,000円(税込)
ダイレクトボンディング:66,000円
セラミックインレー:88,000円
セラミックアンレー:88,000円
治療詳細
銀歯の下に再発した虫歯に対して、ナノフィラー含有レジンとセラミックを用いた接着治療を行いました。虫歯の再発リスクを抑えつつ、自然な色調で治療跡がなるべく目立たないようにしました。
リスク副作用
噛む力が強い方や噛み合わせが悪い方はセラミックが割れることがあります。術後、歯がしみる症状が一時的に出ることがあります。