THREE歯科・矯正歯科

症例

Case

2025.11.01

インプラントセラミック治療フルマウス治療(全顎治療)矯正

フルマウス治療(矯正・インプラント・セラミック)

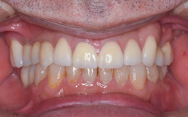
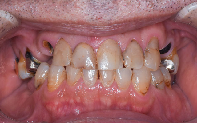
BEFORE

治療前

AFTER

治療後

主訴

前歯を綺麗にしたい、物を噛みたい。

治療期間

約2年(約24回)

治療費用

約600万円(税込)

治療詳細

インプラントを打ち、仮歯を入れて矯正をし、最後治療部位全てにセラミックを入れて終了しました。

リスク副作用

矯正後後戻り・インプラント周囲炎・セラミック破折のリスクがあります。