THREE歯科・矯正歯科

症例

Case

2025.10.31

かみ合わせインプラントフルマウス治療(全顎治療)部分矯正

フルマウス治療(上顎金属床総義歯・下顎部分矯正 ・インプラント含めた補綴治療)

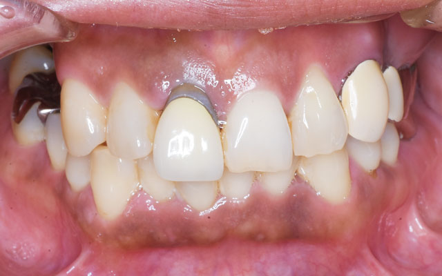
BEFORE

治療前

AFTER

治療後

主訴

できる範囲できちんと治療したい。

治療内容

上顎金属床総義歯、下顎部分矯正、インプラント含めた補綴治療

治療期間

約1年9ヶ月(約30回)

治療費用

約160万円

治療詳細

重度歯周病の歯は抜歯して、まず治療用の義歯を入れました。義歯に慣れてもらう間に矯正とインプラントを終わらせて、最後に金属床義歯とセラミックを入れて治療終了しました。

リスク副作用

入れ歯は年齢と共に顎の骨が変化するので装着感に変化があります。インプラントは周囲炎のリスク、補綴は破損のリスクがあります。メンテナンスは継続しましょう。